Les ornithischiens sont un groupe de dinosaures ou des formes d’herbivorie spécialisée sont apparues plusieurs fois. On observe ainsi une herbivorie spécialisée chez les thyreophores, les cératopsiens, les ornithopodes et les heterodontosauridés. Toutefois, l’évolution des caractères menant à cette herbivorie spécialisée n’a jamais été étudiée. Button et ses collègues analysent ainsi l’histoire évolutive de l’apparition de ces formes d’herbivorie spécialisée chez les ornithischiens.

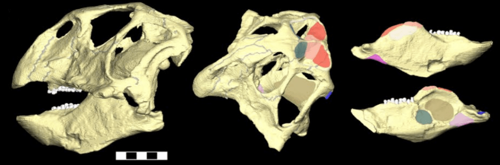
Pour ce faire, Button et ses collègues ont analysé les forces de morsure et les contraintes fonctionnelles des crânes de formes basales de ces quatre groupes. Ainsi, le crâne des thyreophores basaux Lesothosaurus et Scelidosaurus, du cératopsien basal Psittacosaurus, de l’ornithopode basal Hypsilophodon et de l’heterodontosauridé Heterodontosaurus ont été étudiés. Button et ses collègues ont ainsi reconstruit des modèles 3D de ces crânes et leur ont appliqué la force de morsure correspondant aux muscles des mâchoires de ces crânes. Button et ses collègues ont effectué ce calcul des forces de morsure chez ces six genres, révélant des différences entre la force absolue (la force de morsure brute) et la force relative de morsure (la force de morsure en fonction du poids) chez eux.

Ainsi, Scelidosaurus présente une force de morsure relative faible, mais une grande force de morsure absolue. Le genre compense ainsi sa faible morsure par sa grande taille, qui implique donc des muscles plus grands. Lesothosaurus possède la force de morsure absolue la plus faible avec une force de morsure relative plutôt basse. Heterodontosaurus présente également une force de morsure relative faible, mais la compense par de puissants muscles de la mâchoire, qui lui permettent d’avoir une force de morsure absolue plutôt élevée. Hypsilophodon et Psittacosaurus ont les plus grandes forces de morsure relative, mais Hypsilophodon possède une force de morsure absolue assez faible par rapport à Psittacosaurus. Hypsilophodon présente une meilleure morsure avec l’arrière de sa mâchoire tandis que Psittacosaurus a une meilleure morsure avec l’avant de sa mâchoire.

Button et ses collègues ont appliqué les contraintes de von Mises à ces crânes, pour connaître la résistance de celui-ci ainsi que son comportement biomécanique lors d’une morsure. Psittacosaurus est le genre qui subit le moins de stress mécanique lors d’une morsure. Lesothosaurus, Hypsilophodon et Heterodontosaurus présentent des valeurs de stress similaires et enfin, Scelidosaurus est celui qui subit le plus de stress mécanique parmi les genres analysés.

Cette analyse des contraintes et des forces de morsure de ces ornithischiens a révélé la présence de différences d’adaptations pour l’herbivorie. Ainsi, Lesothosaurus ne présente pas de spécialisations particulières, Heterodontosaurus a développé des muscles puissants, Scelidosaurus a compensé sa faible morsure par une grande taille corporelle, Hypsilophodon a développé une meilleure efficacité mécanique de ses mâchoires, et enfin, Psittacosaurus a combiné une meilleure efficacité mécanique de ses mâchoires avec une augmentation de la taille des muscles de ses mâchoires.

Ainsi, Button et ses collègues constatent la présence d’une morphologie non spécialisée chez Lesothosaurus, suggérant une alimentation omnivore mais dont les dents suggèrent une alimentation herbivore stricte. De même, les muscles développés d’Heterodontosaurus couplés à sa morsure rapide sont en faveur d’une alimentation à base de végétaux mais aussi de petits animaux. Toutefois, ces signes d’omnivorie chez ces genres représentent probablement des reliques morphologiques de leur ancêtre commun omnivore.

Ils remarquent chez Scelidosaurus une morsure peu efficace, compensée par sa taille et probablement par un bon système digestif. Une telle morphologie, peu spécialisée, est le témoin d’une alimentation plutôt généraliste à base de végétaux tendres. Hypsilophodon présente quant à lui une morphologie crânienne optimisée pour se nourrir efficacement de végétaux, tout comme Psittacosaurus qui présente en plus une meilleure résistance au stress, lui permettant de se nourrir de toutes sortes de végétaux, y compris coriaces.

Button et ses collègues remarquent donc que les différents groupes d’ornithischiens ont développé très tôt des spécialisations pour une alimentation herbivore. Ces spécialisations se retrouvent à la base de chacun de ces groupes, alors que la morphologie générale du crâne de ces genres basaux suggérait qu’il s’agissait de genres peu spécialisés. Ainsi, la grande taille de Scelidosaurus a été conservée au cours de l’évolution des thyreophores afin de consommer efficacement des végétaux. En développant une grande taille pour s’alimenter, les thyreophores sont devenu le premier groupes d’ornithischiens à évoluer en une tendance vers le gigantisme.

Les ornithopodes ou les cératopsiens n’ont atteint de grandes tailles que bien plus tard dans leur évolution. En effet, ces groupes ont plutôt privilégié le développement d’une morphologie crânienne spécialisée plutôt que d’une grande taille. Pour Button et ses collègues, une telle spécialisation a pu permettre aux ornithopodes et aux cératopsiens de se nourrir de végétaux coriaces. Cette morphologie est précurseuse d’un traitement oral sophistiqué des végétaux, notamment avec des batteries dentaires, que l’on retrouve plus tard dans l’évolution de ces groupes.

Référence : Button, D.J.; Porro, L.B.; Lautenschlager, S.; Jones, M.E.H.; Barett, P.M., 2023, Multiple pathways to herbivory underpinned deep divergences in ornithischian evolution. Current Biology. 33: 1–9.
Toutes les images proviennent de Button et al., 2023 à l’exception de la première et de la dernière qui sont des œuvres de Scott Hartman